口内炎治療

口内炎治療

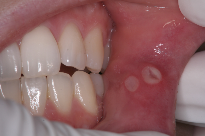
口内炎のレーザー照射

お口の中の粘膜にできる口内炎は、痛みのせいで話がしにくかったり、塩辛い食べ物がしみるので、食事が思うようにとれなかったりと大変不快感が多いです。
当院では、口内炎にレーザーを照射する事によって痛みを和らげて行きます。
よほどひどい口内炎でない限り、ほぼ1回の治療で痛みが和らぎ、副作用もありません。

※口内炎を完全に治す処置ではなく、口内炎が治るまでの間に痛みを感じさせない処置であることをご了承ください

料金表

口内炎レーザー
1箇所 1,400円(税込)